
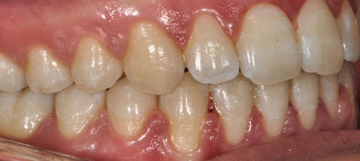
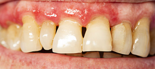
Gingivitis
Gingivitis is a common gum disease and the mildest form of periodontal disease. It is the result of bacterial buildup on the teeth. This buildup irritates surrounding gum tissue and can cause the gums to become inflamed, discolored, and painful to the touch. The gums are likely to become red, swollen, and tender. They may bleed easily during daily cleanings and flossing.











